Invisalign
Invisalign treatment starts with a free consultation with our Invisalign® dentist Katie Kane.
Call Us Today on
(028) 91 454 590
Enquire Now
WHAT IS Invisalign?
Unlike traditional braces, Invisalign clear aligners are removable and virtually invisible. There are no wires and brackets, so you don’t need to change the way you brush and floss and they will cause minimal disruption to your daily life making it an incredibly popular option for patients wishing to straighten their teeth discreetly. And, you can continue to eat all your favourite foods.
Benefits of Invisalign®
- Made from SmartTrack material which is clinically proven to improve control of tooth movement for predictability and comfort
- Easily removable for eating, drinking & flossing
- Virtually invisible, no metal wires required
- Each aligner is trimmed to your gum line for optimal comfort and appearance
The first step is to visit us for your complimentary Invisalign consultation. We will take a series of photographic images that will allow us to assess your suitability for treatment and can answer any questions you may have.
If you decide that Invisalign is the treatment for you, you will receive a different set of bespoke aligners every two weeks to gently guide your teeth closer to their desired position. Throughout your treatment, your dentist will monitor your progress and ensure that your aligners are fitting correctly. You will wear each set of aligners for 20 to 22 hours a day and you’ll visit us around every 6-8 weeks to monitor progress, make adjustments and receive new aligners.
After finishing your treatment plan, retainers will be required to maintain your new smile
SMILE MORE, PAY LESS
Transform your smile with our Invisalign ‘New Year, New You’ offer!
What is included?
- Free consultation
- Free digital scan and x-rays
- Free whitening
- Free retainers
- Free treatment planning to visualise your new smile – no commitment!
Treatment from just £2200
*Interest free financing available. Available for a limited time only so lock in your discounted price today!
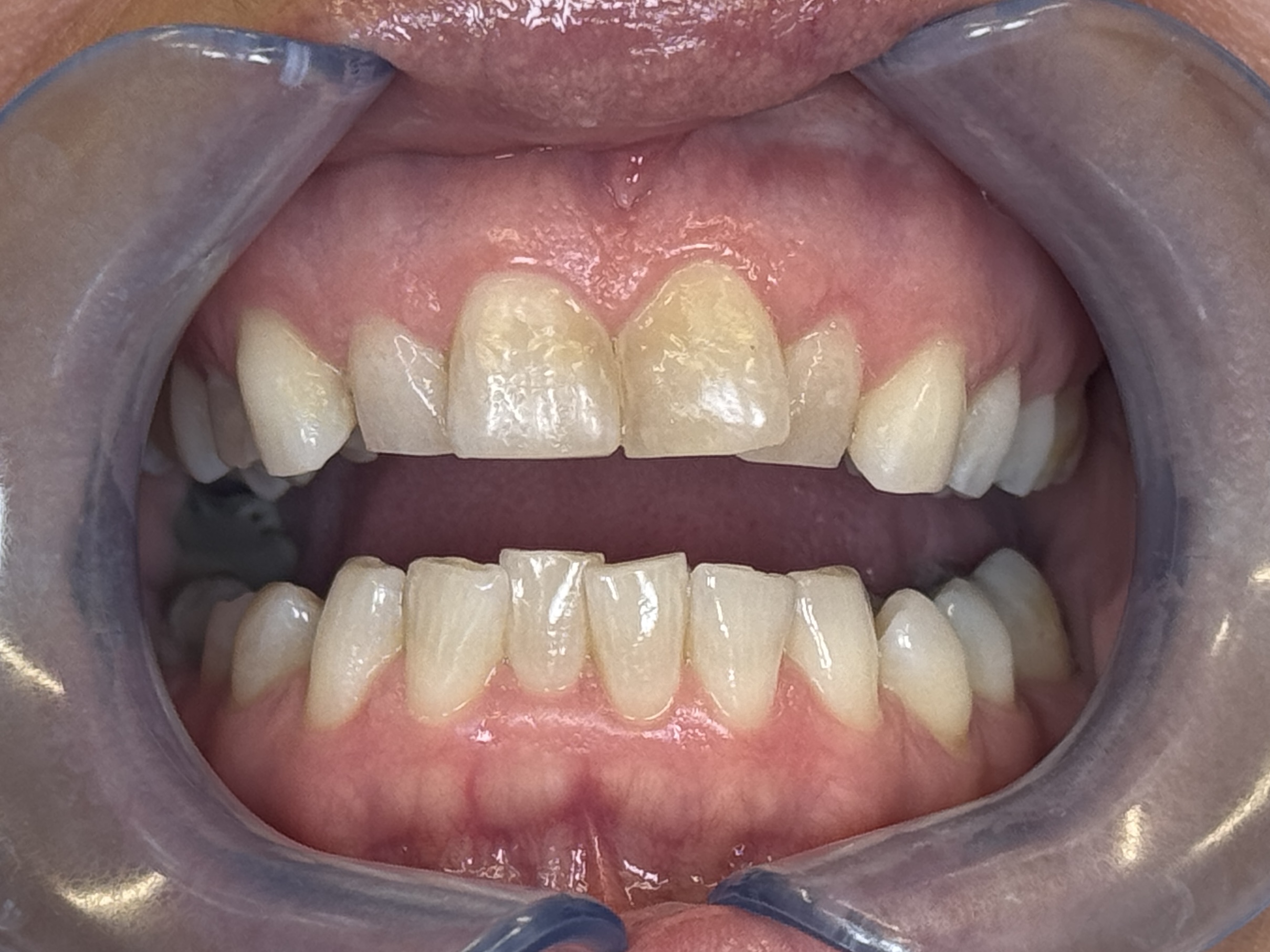
BEFORE:
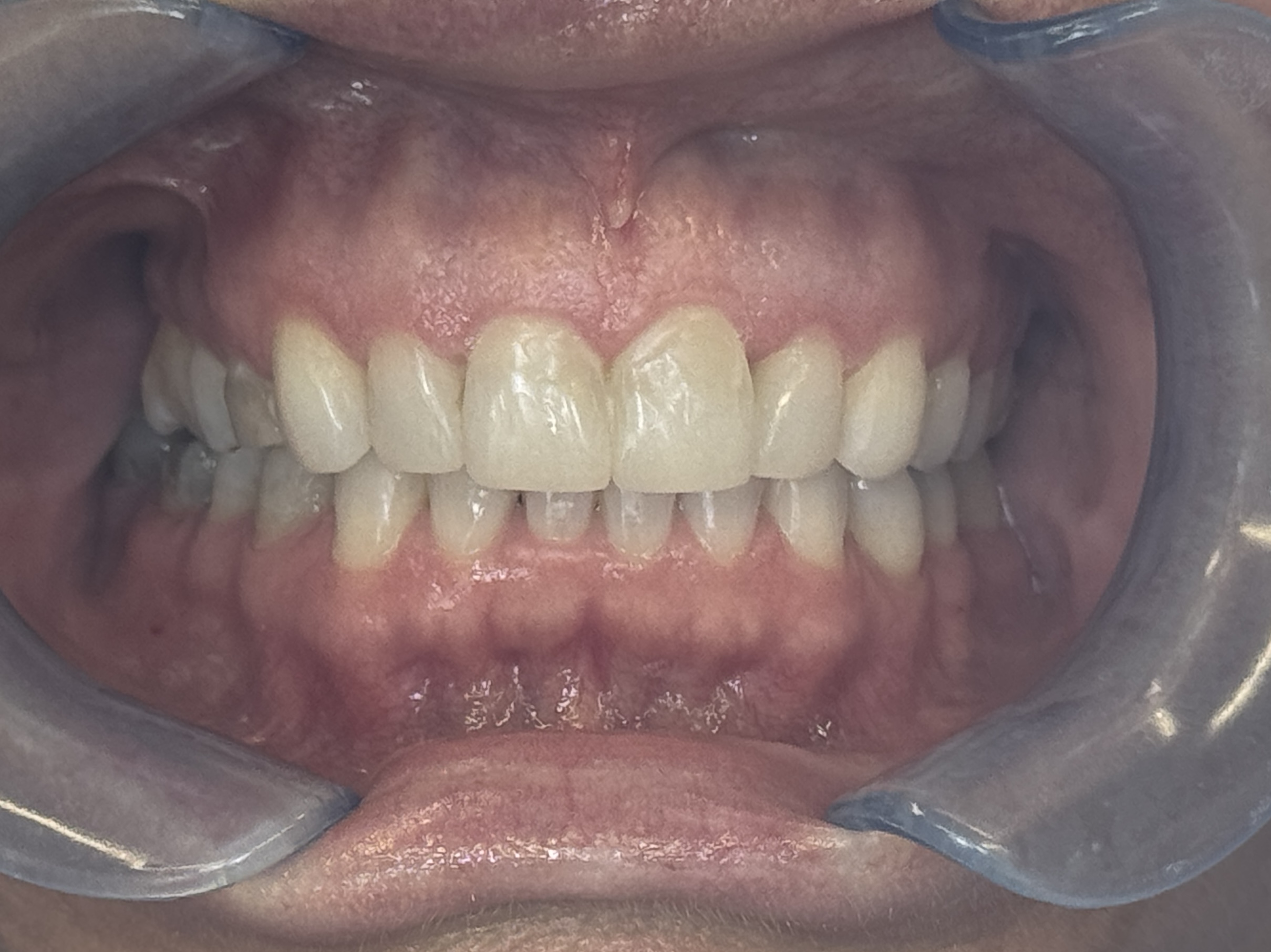
AFTER:
Benefits to your oral health
As well as looking so much better there are other benefits to having straight teeth; not only will your confidence get a boost but your oral health will improve – straight teeth are much easier to keep clean and are at less risk of uneven tooth wear.
why livingston?

state of the art

result based


